Skip to content
الخط الساخن :
15180
من نحن
الخدمات
التبييض
تاج الأسنان
تقويم الأسنان
حشو الأسنان التجميلي
زراعة الأسنان
طب أسنان الأطفال
قشور الأسنان
قناة الجذر
التجربة
قبل وبعد
أحدث التقنيات
برامج المرضى الدوليين
المقالات
تواصل معنا
احجز موعد
بناء أسنانك
استبيان الزرع
استبيان القشرة الخشبية
استبيان طب الأسنان العائلي
الإنجليزية
من نحن
الخدمات
التبييض
تاج الأسنان
تقويم الأسنان
حشو الأسنان التجميلي
زراعة الأسنان
طب أسنان الأطفال
قشور الأسنان
قناة الجذر
التجربة
قبل وبعد
أحدث التقنيات
برامج المرضى الدوليين
المقالات
تواصل معنا
احجز موعد
بناء أسنانك
استبيان الزرع
استبيان القشرة الخشبية
استبيان طب الأسنان العائلي
الإنجليزية
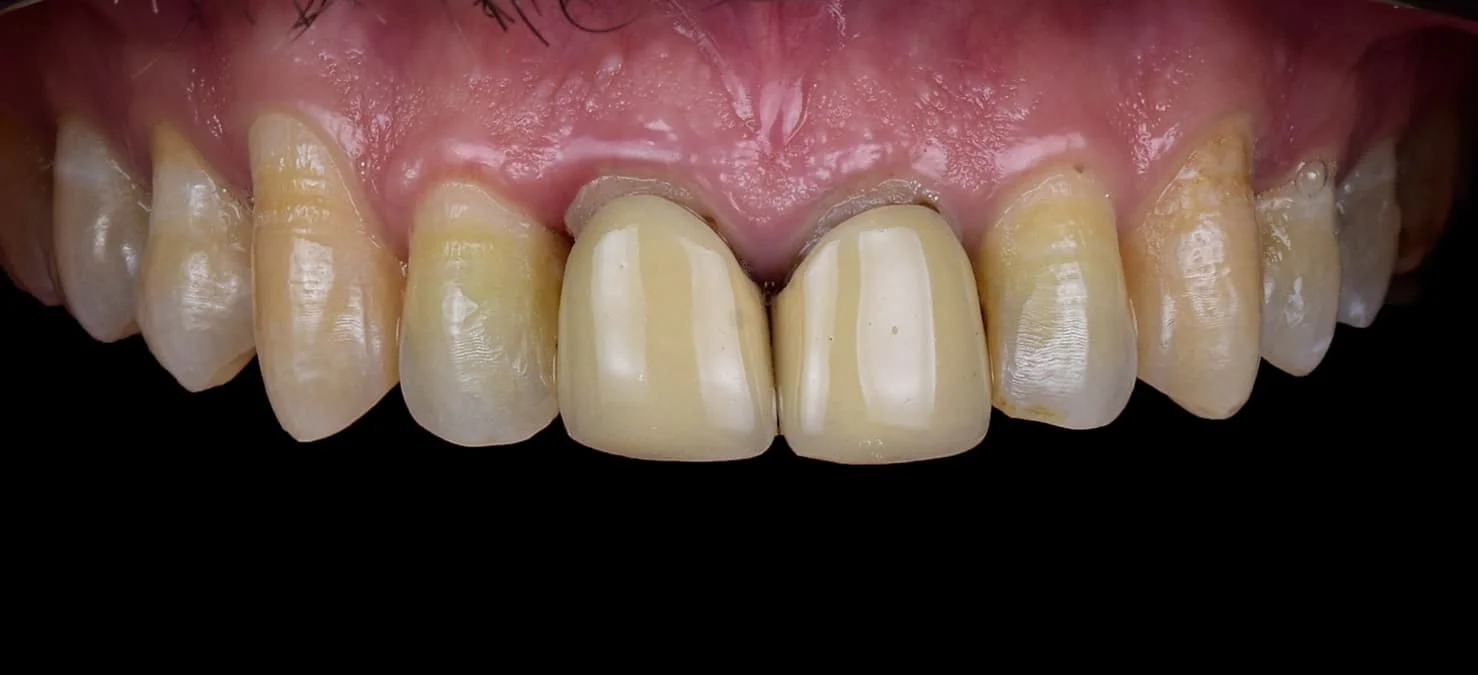
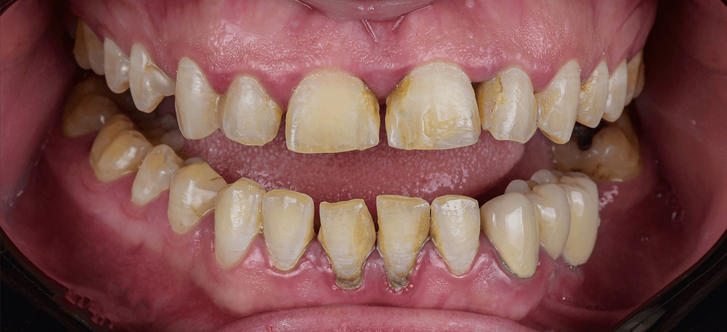
قبل
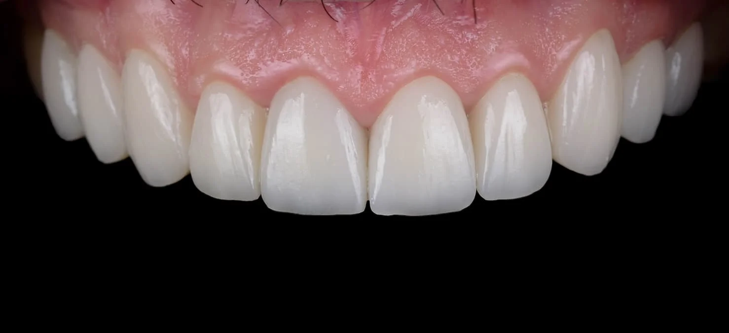
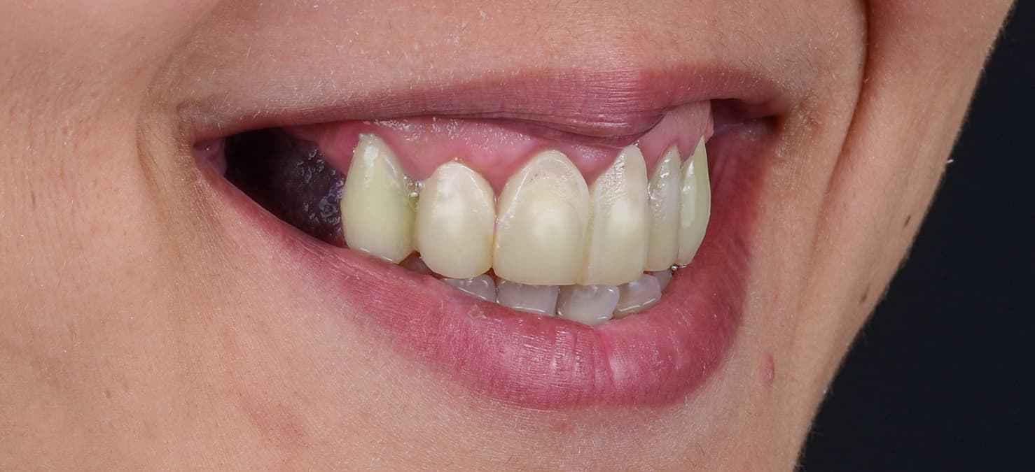
وبعد